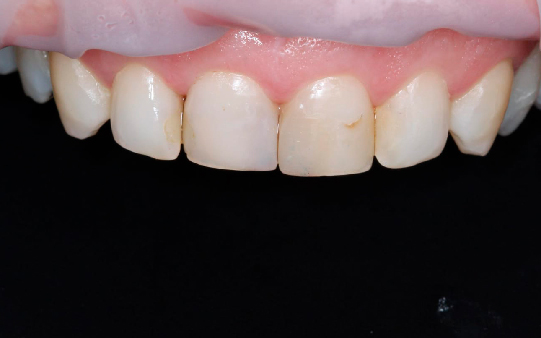
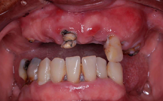
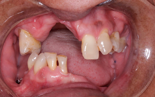
Baixa autoestima e dificuldade para sorrir















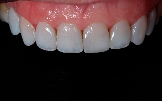
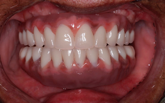
Protocolo em Resina Acrílica: boa estética, acessível, indicado para reabilitações com ótimo custo-benefício.










Baixa autoestima e dificuldade para sorrir
Problemas para se alimentar ou saborear alimentos
Desafios no relacionamento social devido a inseguranças
Problemas fonéticos e sistêmicos de saúde
Desafios psicológicos relacionados à sua saúde bucal
Esse é o momento perfeito para você trazer o seu sorriso de volta!